Ultrasound Case of the Month

Case: Submitted by Dr. Daniel Coleman

This patient was a 44 year-old male with a past medical history significant for HIV, hepatitis C, diabetes, hypertension, and asthma, who presented with chest pressure, shortness of breath, and nausea. His symptoms developed over the previous 2 days, and were associated with intermittent diaphoresis, palpitations, and mild edema of the lower extremities. Pain was significantly worse when lying down.  The patient also endorsed symptoms of an upper respiratory infection with subjective fever approximately 1 week prior to presentation.

Diagnosis

Moderate pericardial effusion secondary to pericarditis without tamponade physiology

Discussion 

The image above demonstrates a small to moderate-sized circumferential pericardial effusion.  The effusion is seen by the anterior anechoic strip between the epi and pericardium. Effusions typically collect posteriorly/inferiorly, but will become circumferential as they get larger. Effusions around the anterior aspect of the heart may be differentiated from epicardial fat by their anechoic nature, whereas fat substance may be punctuated with mixed echogenicity. (1)

Ultrasound is a great tool for the evaluation of pericardial effusions, not only to detect the presence of said effusion, but to assess for the presence of tamponade as well, which may be caused by effusions as small as 50 mL. (2) There are several ways to evaluate for tamponade on ultrasound:

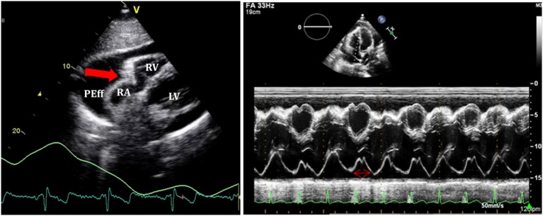
Right atrial collapse: While brief collapse of the RA wall during systole can be a normal variant, collapse lasting more than 1/3 of systole is almost 100% sensitive and specific for tamponade.  This phenomenon is best observed and measured using M mode (Figure 1), but may be difficult to discern in a tachycardic patient. (1)

Figure 1: On left, visualization of right atrial collapse.  On right, M mode allows temporal  measurement of collapse. (2)

Figure 1: On left, visualization of right atrial collapse.  On right, M mode allows temporal  measurement of collapse. (2)

Right ventricular collapse: If intrapericardial pressure exceeds the lowest RV pressure, it may collapse the RV free wall during diastole. This is best visualized in the parasternal long and short views (Figure 2). This finding is highly specific, but less sensitive than RA collapse, as a thickened RV wall of any etiology may not collapse under tamponade pressures. (1)

Figure 2: Right ventricle collapse during diastole. (2)

Figure 2: Right ventricle collapse during diastole. (2)

Swinging heart: On EKG, electrical alternans occurs during tamponade when the heart swings back and forth within the large effusion.  Ultrasound allows direct visualization of this phenomenon, (3) as see here.

IVC dilation: Tamponade physiology inhibits the ability of the heart to fill, resulting in back pressure and plethora of the ICV (Figure 3) with decreased respiratory variation has a sensitivity of 92%. (1)

Figure 3: Plethora of IVC during tamponade. (2)

Figure 3: Plethora of IVC during tamponade. (2)

Faculty Reviewer: Dr. Kristin Dwyer

Additional resources: Ultrasound podcast: Pericardial Tamponade

References:

1.      Goodman A, Perera P, Mailhot T, Mandavia D.  The role of bedside ultrasound in the diagnosis of pericardial effusion and cardiac tamponade.  J Emerg Trauma Shock.  2012; 5(1): 72-75.

2.      Perez-Casares A, Cesar S, Brunet-Garcia L, Sanchez-de-Toledo J.  Echocardiographic Evaluation of Pericardial Effusion and Cardiac Tamponade.  Front Pediatr.  2017; 5: 79.

3.      Mokta J, Mokta K, Panda P et al.  A swinging heart.  

Daniel ColemanComment