Hiding in Plain Sight: Unexpected Findings on Chest X-Ray

Rich Gorilla CT.jpg

Notice anything unusual about this scan? In a study by Melissa Trafton Drew and Jeremy Wolfe, 83% of radiologists didn't notice the gorilla in the top right portion of this image when scrolling through five chest CT scans looking for lung nodules. (1) This is thought to be due to a phenomenon known as inattention blindness. When engaged in a demanding task, we may fail to perceive an unexpected stimulus that is in plain sight. If you don’t believe me, check this out:

The chest x-ray is one of the most commonly performed imaging tests. As emergency medicine physicians, we order chest x-rays to evaluate patients with a wide variety of complaints. Often times, it is our responsibility to interpret the x-ray and create a management plan before a radiologist has a chance to look at the image. This is true in community hospitals without radiologists available during night or weekend hours, in critically ill patients, or in trauma victims at large academic centers. Several studies have shown a discrepancy between the x-ray readings of emergency medicine physicians verses radiologists. (2,3,4,5) There is wide variability in the rate of misinterpretations reported, depending on the type of imaging, the experience level of the clinician, and the difficulty level of the chest x-ray findings, among other factors.

Chest x-ray interpretation is a vital skill as interpretation errors can have significant consequences.  False negatives may result in missing life-threatening conditions and worse patient outcomes. False positives may result in further testing, longer ED course and unnecessary interventions.  We are taught to be systematic in our approach to reading an image. However, it is not uncommon to zero in on the part of the chest x-ray we are interested in and unintentionally brush over the rest of the picture. This can lead to missed diagnoses and poorer patient outcomes.

With the importance of accurate chest x-ray interpretation skills in mind, let’s take a step back and review the basics:

The ABC's of Reading a Chest X-ray: 

First- check the patient information, the projection (AP or PA), the date it was taken. Review the aspects that affect the quality of the film.

  • Check the alignment (medial ends of clavicle equidistant from spinous process)

  • Check the inspiratory effort (10-11 posterior ribs in each lung field)

  • Exposure (is the image too bright or too dark? The vertebrae should be visible behind the heart)

Remember the pneumonic “RIPE” to evaluate the quality of an image - Rotation, Inspiration, Projection, Exposure. 

https://commons.wikimedia.org/wiki/File:Mediastinal_structures_on_chest_X-ray.svg#/media/File:Mediastinal_structures_on_chest_X-ray,_annotated.jpg

https://commons.wikimedia.org/wiki/File:Mediastinal_structures_on_chest_X-ray.svg#/media/File:Mediastinal_structures_on_chest_X-ray,_annotated.jpg

When ready to review the x-ray, consider the commonly used “A, B, C, D, E, F” system.

A - Airway- trachea, carina, right and left main bronchi

B - Bones and soft tissue- clavicles, ribs- posterior rand anterior, vertebral bodies, and sternum on lateral films. Look for any fractures, dislocations, or lytic lesions.

C - Cardiac- cardiac silhouette and mediastinum. The cardiac silhouette should be less than half of the thoracic cavity. AP films exaggerate heart size, so this rule does not apply. Assess the borders of the heart and the hilar structures

D - Diaphragm- right should be higher than left and you should see a gastric air bubble on the left. Is there any free air under the diaphragm? Evaluate the costophrenic angle and pleura (normally invisible due to thinness).

E - Everything else (lines and tubes, pacemakers, artificial valves)

F - Fields- FINALLY, evaluate the lung fields. Lungs are the area of greatest interest, so it is helpful to keep this at the end to prevent distraction. Divide each lung into three “zones” when reading a chest x-ray. These do not correlate with the lobes. Remember, there are 2 lobes on the left (upper and lower) and 3 on the right (upper, middle and lower). 

https://upload.wikimedia.org/wikipedia/commons/thumb/7/7e/2312_Gross_Anatomy_of_the_Lungs.jpg/1280px-2312_Gross_Anatomy_of_the_Lungs.jpg

https://upload.wikimedia.org/wikipedia/commons/thumb/7/7e/2312_Gross_Anatomy_of_the_Lungs.jpg/1280px-2312_Gross_Anatomy_of_the_Lungs.jpg

There are several things that do not fit perfectly into the A-E categories.

  • Apices

    • Look again at the lung above the clavicles

  • Retrocardiac space

    • Look for consolidation or a mass in this region

  • Below the diaphragm

    • Remember that the lungs extend below the diaphragm posteriorly. Look out for consolidation or lesions on the lateral film.

  • Soft-tissue abnormalities

    • Don’t forget to look for air, foreign bodies, and other soft tissue abnormalities.

Now that we have refreshed your memory, it’s time to practice! Imagine that you are in a small community setting, working the overnight shift. There are no radiologists available until the morning and it is up to you to read the chest x-ray.

Go through the examples below and see what findings you can pick up on these chest x-rays.


Case 1: Find the abnormality.

Case 1 answer: This patient has pneumomediastinum. Air appears as curvilinear lucencies outlining the mediastinum. Note the continuous diaphragm sign- the entire diaphragm is visualized as air in the mediastinum separates the heart and the superior surface of the diaphragm.

Case 2: Find the abnormality

Case 2 answer: This patient has a left shoulder dislocation. The humeral head is displaced from the glenoid of the scapula.

Case 3: Find the abnormality

Case 3 answer: This patient has a right middle lobe collapse. This is easier to visualize on the lateral view, where a triangular opacity overlying the cardiac silhouette can be seen. It can be difficult to see a middle lobe collapse on frontal projections. You may notice that the horizontal fissure is no longer visible or that there is blurring of the right heart border. (6)

For more information, check out https://radiopaedia.org/articles/right-middle-lobe-collapse


Case 4: Find the abnormality 

Case 4 answer: The central line placed in the right neck soft tissue crosses the midline. This line was placed in the carotid artery.
https://pbs.twimg.com/media/CmVRNRzVIAQCaf9.jpg

https://pbs.twimg.com/media/CmVRNRzVIAQCaf9.jpg


Case 5: Find the abnormality

Case 5 answer: Misplaced tooth. Notice the ovoid, radiopaque foreign body in the right mainstem bronchus.

Case 6: Find the abnormality

Case 6 answer: This patient has a left lower lobe pneumonia. There is a positive spine sign on the lateral projection. The spine normally becomes more radiolucent as you progress inferiorly given the increased amount of air containing lung overlying the spine as you travel downwards. Where there is fluid, a mass, or a consolidation in the lower lung fields, the vertebral bodies appear more radiodense.  

For more information, check out http://learningradiology.com/notes/chestnotes/spinesign.htm and https://radiopaedia.org/cases/left-lower-lobe-pneumonia-10


Case 7: Find the abnormality

https://images.radiopaedia.org/images/627328/6743f24a87021f15266d7385963870_big_gallery.jpg

https://images.radiopaedia.org/images/627329/afc5beac8649e5e1fed60df4863281_big_gallery.jpg

Case 7 answer: This patient has Chilaiditi syndrome. In this syndrome, the colon is positioned between the liver and the diaphragm which can appear as free air under the diaphragm. Notice the rugal folds, this helps differentiate bowel containing gas from free air.

For more information, check out: https://radiopaedia.org/articles/chilaiditi-syndrome

Another example of Chilaiditi Syndrome:

https://upload.wikimedia.org/wikipedia/commons/6/6c/Chilaiditi_obvious.jpg

https://upload.wikimedia.org/wikipedia/commons/6/6c/Chilaiditi_obvious.jpg

Here is an example of actual pneumperitonium:

https://upload.wikimedia.org/wikipedia/commons/3/3c/Pneumoperitoneum_modification.jpg

https://upload.wikimedia.org/wikipedia/commons/3/3c/Pneumoperitoneum_modification.jpg


Case 8: Find the abnormality.

https://upload.wikimedia.org/wikipedia/commons/thumb/9/98/Pneumothorax_im_liegen.jpg/689px-Pneumothorax_im_liegen.jpg

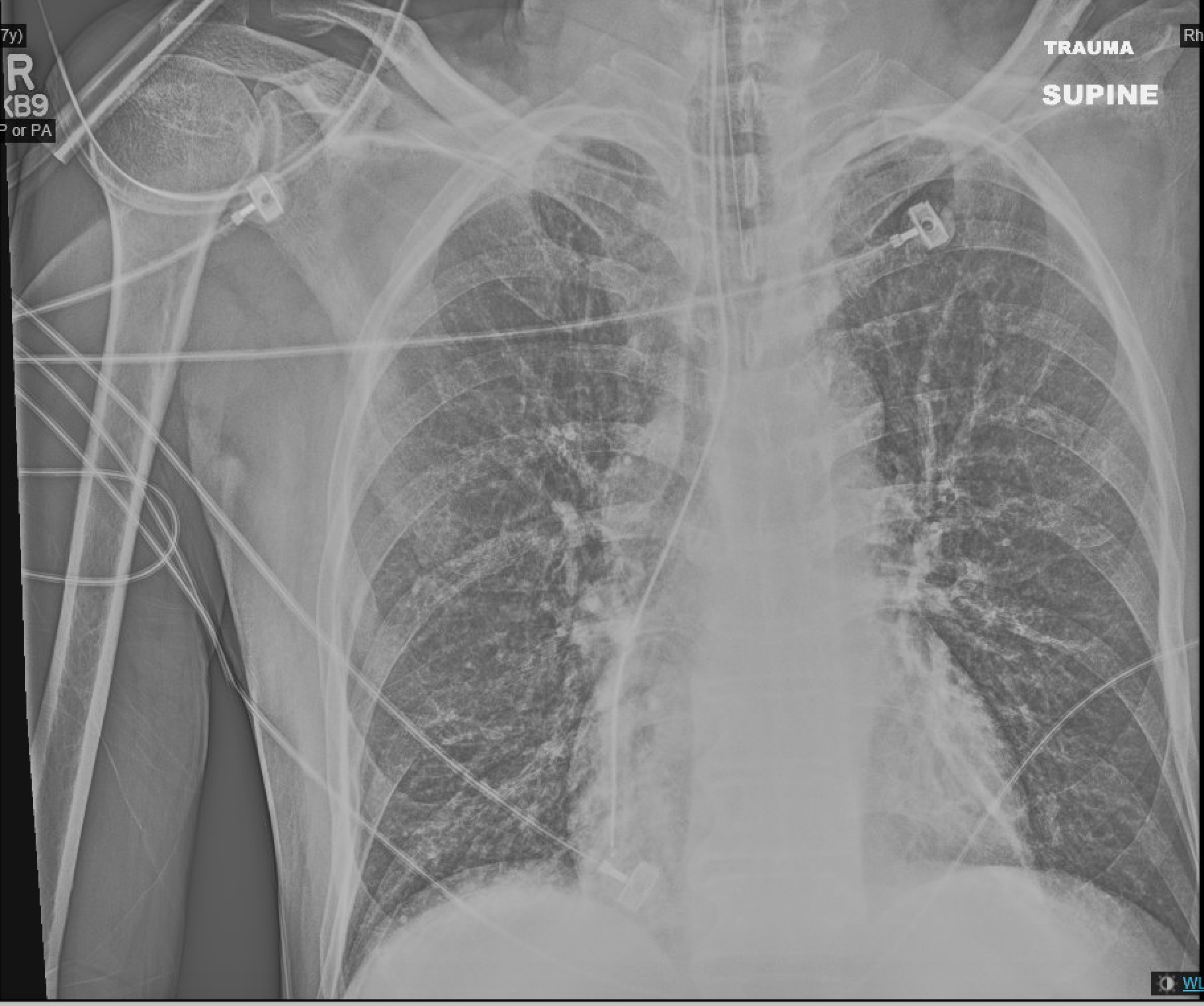
Case 8 answer: This patient has a left pneumothorax. This patient is supine at the time of this image (like many of our back-boarded and collared trauma patients). Notice the abnormally deep costophrenic angle on the left. This is known as the deep sulcus sign and is present because air collects in the non-dependent potions of the pleural space (anteriorly and basally when the patient is supine, apex when the patient is upright).

Case 9: Find the abnormality:

http://image.wikifoundry.com/image/1/UyT1bPAhr9Ui2Q1JlkLj_w115368/GW500H488

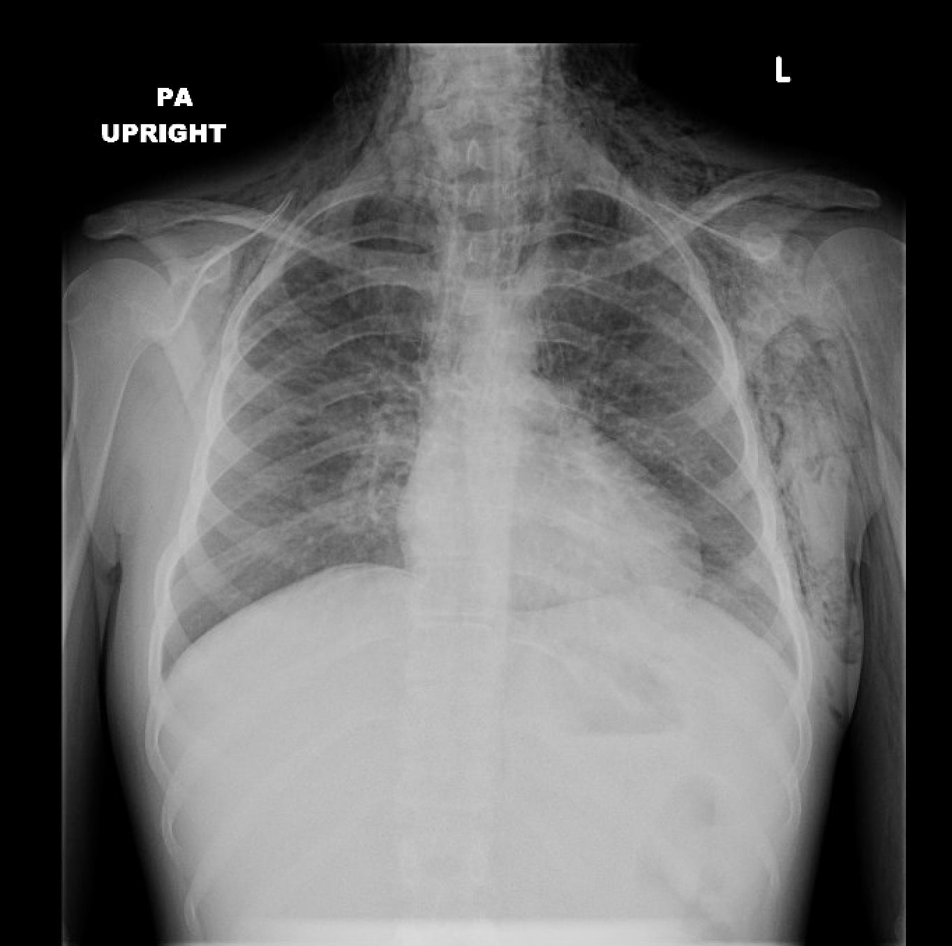
Case 9 Answer: This x-ray is NORMAL. It looks like this patient has a left pneumothorax on first glance, but the pleural line you think you see is actually a skin fold. (7) Notice that the pulmonary vessels extend to the outer edge of the lung fields.

For more information, check out: http://www.wikiradiography.net/page/Patterns+of+Misdiagnosis+in+Plain+Film+Radiography section 16 on artifacts.


Case 10: Find the Abnormality.

Case 10 Answer: The OGT is malpositioned and is entering the right mainstem bronchus and terminating in the right lung.

Case 11: Find the Abnormality.

https://radiopaedia.org/cases/scapular-fracture-11

Case 11 Answers: There is a comminuted fracture through the body of the right scapula. Fractures of the scapula usually occur in association with injuries to the ipsilateral lung, thoracic cage and shoulder girdle. Presence of a scapula fracture mandates further investigation for associated injuries. (8)

Case 12: Find the abnormality.

Case 12 Answer: This patient has extensive pneumomediastinum extending cranially into the neck. There is extensive soft tissue emphysema about the chest wall. This occurred after a coughing fit (believe it or not). No evidence of pneumonia or pneumothorax is seen, although it is difficult to visualize the lung fields with the overlying subcutaneous emphysema.

Conclusion

Chest x-ray interpretation is a vital skill as errors can lead to missed diagnoses and worse patient outcomes. Adopt a systemic approach to reading a chest x-ray and use it every single time. Use the ABCDEF pneumonic to guide your interpretation and to avoid overlooking an abnormality that are hiding in plain sight.

Faculty Reviewer: Robert Tubbs, MD

References

  1. Drew T, Vo ML, Wolfe JM. The invisible gorilla strikes again: sustained inattentional blindness in expert observers. Psychol Sci 2013;24:1848-53.

  2. Petinaux B, Bhat R, Boniface K, Aristizabal J. Accuracy of radiographic readings in the emergency department. Am J Emerg Med 2011;29:18-25.

  3. Safari S, Baratloo A, Negida AS, Sanei Taheri M, Hashemi B, Hosseini Selkisari S. Comparing the interpretation of traumatic chest x-ray by emergency medicine specialists and radiologists. Arch Trauma Res 2014;3:e22189.

  4. Soudack M, Raviv-Zilka L, Ben-Shlush A, Jacobson JM, Benacon M, Augarten A. Who should be reading chest radiographs in the pediatric emergency department? Pediatr Emerg Care 2012;28:1052-4.

  5. Nitowski LA, O'Connor RE, Reese CLt. The rate of clinically significant plain radiograph misinterpretation by faculty in an emergency medicine residency program. Acad Emerg Med 1996;3:782-9.

  6. Right Middle Lobe Collapse. at https://radiopaedia.org/articles/right-middle-lobe-collapse.)

  7. Patterns of Misdiagnosis in Plain Film Radiography. at http://www.wikiradiography.net/page/Patterns+of+Misdiagnosis+in+Plain+Film+Radiography.)

  8. Baldwin KD, Ohman-Strickland P, Mehta S, Hume E. Scapula fractures: a marker for concomitant injury? A retrospective review of data in the National Trauma Database. J Trauma 2008;65:430-5.