Take My Breath Away

Case Presentation

A 31 year old female with no significant PMH presents to the Emergency Department with left-sided chest pain that started suddenly 3 hours ago while sitting in a lecture hall.  She describes the pain as a constant stabbing sensation in her left anterior chest that radiates to her left neck.  She endorses feeling short of breath and lightheaded.  She has never had a sensation like this before.  The patient denies smoking, fevers, chills, and trauma.  Her vital signs are unremarkable, and her physical exam is notable for decreased breath sounds in the left upper lung field. 

 

Ultrasound Exam

Uploaded by Brown EM Blog on 2019-09-24.
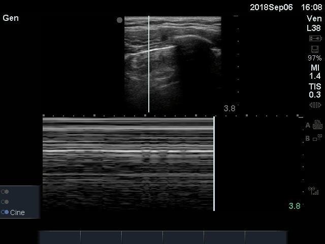
Left Anterior.jpg


The above images are of the left anterior chest and were acquired using the linear probe.  The curvilinear probe may also be used for lung ultrasound.

Diagnosis:  Left spontaneous pneumothorax (PTX)

 

What do we see in these images?

In the video, we see a pleural line that is static without the classic “sliding.”  In an ultrasound of a healthy normal lung, we should see a to-and-fro movement or shimmering of the pleural line. This has often been described as ants on a log. In the case of pneumothorax, however, there is air between the visceral and parietal pleura that prevents visualizing of the visceral pleura and inhibits lung sliding. 

In the still image of M-mode, we see a pattern of horizontal lines above and below the pleura.  This pattern is referred to “barcode” sign, and is indicative of a lack of movement.

 

Is U/S good at detecting pneumothorax?

Sensitivity Specificity
U/S 78.6 98.4
CXR 39.8 99.3


Ultrasound is both a quick and reliable tool for the diagnosis of pneumothorax.  In fact, ultrasound is more accurate than chest radiography at detecting PTX in the supine patient.

 

Faculty Reviewer: Dr. Kristin Dwyer 

References:

  1. Alrajab S, Youssef AM, Akkus NI, Caldito G. Pleural ultrasonography versus chest radiography for the diagnosis of pneumothorax: review of the literature and meta-analysis. Critical Care. 2013;17(5):R208. doi:10.1186/cc13016.

  2. Husain LF, Hagopian L, Wayman D, Baker WE, Carmody KA. Sonographic diagnosis of pneumothorax. Journal of Emergencies, Trauma, and Shock. 2012;5(1):76-81. doi:10.4103/0974-2700.93116.