Ultrasound for the Confirmation of Nasogastric Tube Placement in the Emergency Department

Nasogastric tube (NGT) placement is a commonly performed procedure in the emergency department (ED) that is indicated for a variety of diagnostic and therapeutic purposes. Some of the most common indications are gastric decompression, bowel irrigation, medication administration, and nutrition. [1] While there are no absolute contraindications to NGT placement, some relative contraindications include midface trauma, suspected basilar skull fracture, ingestion of alkaline substances, nasal obstruction, recent nasal or gastric surgery, esophageal stricture, esophageal varices, and coagulopathy. [1]

Although usually a straightforward (yet uncomfortable) procedure, serious consequences can occur if the tube is placed incorrectly. Complications ranging from discomfort and epistaxis to pneumothorax, pneumonia, pulmonary hemorrhage, esophageal perforation with mediastinitis, and intracranial placement have been reported. [2]

What are the Different Ways to Confirm NGT Location?

A variety of methods have been used to confirm proper NGT placement: auscultation over the stomach, aspiration and pH measurement, capnography, biochemical markers, chest X-ray (CXR), and ultrasound (US).  

Auscultation is one of the most commonly used methods for the confirmation of NGT placement, but studies regarding this method site a sensitivity of 0.79 and a specificity of 0.61. [3] CXR is currently the gold standard for confirmation on NGT placement but limitations with this method still exist. Delayed verification, cost, lack of easily repeatable studies, and radiation exposure all make this test non-ideal. [4] CXR is also not perfectly reliable. Between 2005 and 2010 45% of all cases of harm caused by NGT misplacement reported by the National Patient Safety Agency were due to misinterpreted X-rays [5]. 

Point-of-care US, regardless of the application, offers many unique advantages to alternative diagnostic modalities. US tends to be readily available (particularly in the emergency department), can be performed at the bedside, and is inexpensive, rapid, repeatable and without radiation.

Techniques to Confirm NGT Position with Ultrasound  

The technique for US confirmation of NGT placement relies on visualization of the NGT in the esophagus and stomach as outlined below.

Neck US

1) Use a linear transducer just superior to the suprasternal notch in the midline at the level of the thyroid gland looking for the esophagus. [8] 2) Obtain transverse and longitudinal views if possible. See Figure 1, Figure 2, and Video 1. 

Appropriate NGT placement can be confirmed with US of the neck when a hyperechoic object is seen in the esophagus obscuring the posterior wall. [3] Keep in mind neck US does not give information regarding the tip of the NGT and can result in some false positives if the NGT is not inserted far enough. [8] 

Subxiphoid US

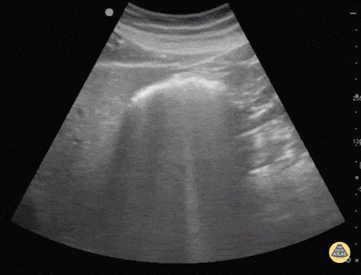
1) Use a curvilinear transducer for subxiphoid visualization by placing the probe in the epigastrium and orienting the probe toward the left shoulder to visualize the stomach. [8] (See Figure 3 and Video 2) This test is considered positive if the gastric tube is directly visualized in longitudinal and angled scans of the epigastrium. [8] If the NGT cannot be visualized, an air-water mixture consisting of 10cc of air and 40cc of normal saline can be injected through the NGT under US visualization looking for dynamic fogging in the stomach at the tip of the NGT. [8] (See Figure 4 and Video 1) No adverse events have been reported using this method, however caution should be used to avoid injection of normal saline into the tracheobronchial tree. 

Figure 1. (a) Transverse ultrasound of the neck of an intubated patient before nasogastric tube placement. (b) Nasogastric tube (arrow) in the esophagus. A, carotid artery; ESO, esophagus; T, thyroid gland; TR, trachea [4].

Figure 1. (a) Transverse ultrasound of the neck of an intubated patient before nasogastric tube placement. (b) Nasogastric tube (arrow) in the esophagus. A, carotid artery; ESO, esophagus; T, thyroid gland; TR, trachea [4].

Figure 2. Long‐axis ultrasound images of esophagus during nasogastric placement in the parasagittal plane at the anterior neck: (a) empty esophagus, (b) insertion of nasogastric feeding tube to the esophagus, and (c) passing of the tube through the …

Figure 2. Long‐axis ultrasound images of esophagus during nasogastric placement in the parasagittal plane at the anterior neck: (a) empty esophagus, (b) insertion of nasogastric feeding tube to the esophagus, and (c) passing of the tube through the esophagus. ESO, esophagus; T, thyroid gland [4].

Video 1. Trachea in transverse view with its round hyperechoic cartilaginous rings. To the right of the trachea (left anatomically) is the smaller collapsed muscular walled esophagus which moves as the patient swallows in this clip [9].

Video 1. Trachea in transverse view with its round hyperechoic cartilaginous rings. To the right of the trachea (left anatomically) is the smaller collapsed muscular walled esophagus which moves as the patient swallows in this clip [9].

Figure 3. Image of the NGT in the gastric fundus in sagittal scan (left). [7] A mixture of 40 ml normal saline with 10 ml air injected into the tube to visualize the hyperechogenic "fog" exiting at the tip of the tube (white arrows, left). [4]

Figure 3. Image of the NGT in the gastric fundus in sagittal scan (left). [7] A mixture of 40 ml normal saline with 10 ml air injected into the tube to visualize the hyperechogenic "fog" exiting at the tip of the tube (white arrows, left). [4]

Video 2. Gastric tube positioned in the stomach [9].

Video 2. Gastric tube positioned in the stomach [9].

Video 3. Bowel gas scatters ultrasound waves making the structure containing the gas as well as posterior structures difficult to visualize. Applying gentle graded pressure to the probe may displace the gas and improve visualization [9].

Video 3. Bowel gas scatters ultrasound waves making the structure containing the gas as well as posterior structures difficult to visualize. Applying gentle graded pressure to the probe may displace the gas and improve visualization [9].

Data on US Confirmation of NGT Position

Lin et al. published a systematic review and meta-analysis in June 2017 of five observational studies with a total of 420 adult patients. Pooled results showed a sensitivity of 0.93 (0.87-0.97) and specificity of 0.97 (0.23-1.0) for US confirmation of NGT placement compared to CXR. [10] They attributed the wide range in specificity to the low number of incorrect NGT insertions in the studies. In December of 2018, Cagdas et al. published single center, prospective, single-blind study including 49 patients in the emergency department to evaluate US in confirming NGT placement. [6] They used combinations of neck ultrasound, subxiphoid ultrasound (with and without a 50cc air-water mixture), and auscultation to verify tube position. They reported a sensitivity ranging from 0.79 to 0.98 and a specificity of 1.0 and concluded that neck and subxiphoid US are comparable to CXR for verifying NGT location in the ED. They proposed the approach shown in Figure 5 to confirm NGT location with US in the ED. [6]

Figure 5. Recommended approach to confirmation of NGT position with US in the ED [6].

Figure 5. Recommended approach to confirmation of NGT position with US in the ED [6].

 The Bottom Line

  • NGT placement is a commonly performed procedure in the ED but is not without adverse events. Complications ranging from discomfort to pulmonary hemorrhage and mediastinitis have been reported.

  • Auscultation (Se of 0.79 and a Sp of 0.61) and CXR confirmation have their drawbacks.

  • Some studies show comparable sensitivity and specificity between US and CXR confirmation of NGT placement. Pooled results from Lin et al. showed a sensitivity of 0.93 (0.87-0.97) and specificity of 0.97 (0.23-1.0) for US guided NGT confirmation.

  • US can be used as an adjunct to confirm tube position with other methods in the ED.


AUTHOR: Eric Ebert MD, is a first-year resident at Brown University/Rhode Island Hospital

FACULTY REVIEWER: Kristin Dwyer, MD MPH. Director, Emergency Medicine Ultrasound Division. Assistant Professor, Warren Alpert Medical School of Brown University.


References

  1. Reichman, Eric F. Reichman's Emergency Medicine Procedures. McGraw-Hill Education, 2019.

  2. Bankier AA, Wiesmayr MN, Henk C et al (1997) Radiographic detection of intrabronchial malposition of nasogastric tubes and subsequent complications in intensive care unit patients. Intensive Care Med 23:406–410.

  3. Zatelli, M., Vezzali, N., “4-Point ultrasonography to confirm the correct position of the nasogastric tube in 114 critically ill patients,” J Ultrasound (2017) 20:53–58.

  4. Kim HM, So BH, Jeong WJ, Choi SM, Park KN. The effectiveness of ultrasonography in verifying the placement of a nasogastric tube in patients with low consciousness at an emergency center. Scandinavian Journal of Trauma, Resuscitation and Emergency Medicine 2012;20(1):38.

  5. Fan, Esther Monica Peijin, et al. “Nasogastric Tube Placement Confirmation: Where We Are and Where We Should Be Heading.” Proceedings of Singapore Healthcare, vol. 26, no. 3, 2017, pp. 189–195., doi:10.1177/2010105817705141.

  6. Çağdaş Yıldırım, Selçuk Coşkun, Şervan Gökhan, Gül Pamukçu Günaydın, Ayhan Özhasenekler, and Uğur Özkula, “Verifying the Placement of Nasogastric Tubes at an Emergency Center: Comparison of Ultrasound with Chest Radiograph,” Emergency Medicine International, vol. 2018, Article ID 2370426, 6 pages, 2018.

  7. Burns,S. M., Carpenter, R., Blevins, C. et al. Detection of inadvertent airway intubation during gastric tube insertion: capnography versus a colorimetric carbon dioxide detector. Am J Crit Care. 2006;15(2):188–195.

  8. Muslu, B., Sert, H., Demiricioglu, R., Gözdemir, M., Usta, B. “Comparison of Neck Ultrasonography with a pH meter to confirm correct position of nasogastric tube” Clin Invest Med, Vol 39, no 6, December 2016.

  9. “Bowel/GI.” TPA, www.thepocusatlas.com/bowel-gi.

  10. T. Lin, W. Gifford, Y. Lan et al., “Diagnostic accuracy of ultra- sonography for detecting nasogastric tube (NGT) placement in adults: A systematic review and meta-analysis,” International Journal of Nursing Studies, vol. 71, pp. 80–88, 2017.